![]() |
| إعداد : كمال غزال |
ويلوم (غيرهارد) هذه المنطقة على ضخ الأفكار الشريرة التي تجعل من صاحبها يتربّص بالشر لكل من حوله، بمجرد أن تنشط هذه البقعة بأي نشاط سلبي تقوم بتوليد جميع المحرّضات على السلوك الإجرامي والعنيف فهو مركز إصدار القرارات جميعها.
وترتكز أبحاث العالم جيرهارد روث على تجارب أجراها على المجرمين من القتلة والسارقين والمغتصبين بعد أن نال إذناً من السلطات المحلية لمعرفة أسرار الأعمال الإجرامية التي مهما حاولت الحكومة الحد منها وترويض المجرمين وتقويم سلوكهم بالسجن لاتزال تتكرر وتتكرر مع حبس المجرمين ذاتهم .
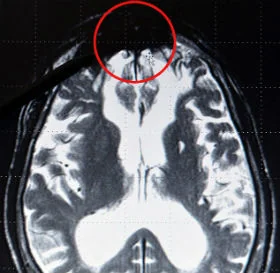
الأمر الذي دعا البروفيسور للقيام بأبحاث ودراسات عديدة بالتعاون مع فريق ينمكمكنمنمكنمنضم عدة باحثين في طب الأعصاب وقد قام جيرهارد بعرض شريط فيديو تظهر فيه أعمال عنف وحشية على مجرمين ارتكبوا أعمال إجرامية متنوعة واحداً تلو الآخر ومن ثم قياس أنشطتهم الدماغية والكشف عليها بالأشعة السينية فوجد أن جميع أجزاء الدماغ تتفاعل مع ما ترى إلا جزء واحد بقي راكداً بلا أي تفاعل ، ورغم وجود هذا الجزء الذي سماه " البقعة المظلمة " فقد تم تداوله إعلامياً باسم علامة الشر أو الشيطان، أي المركز الذي يصدر الاوامر الشريرة لدى الإنسان.
وقد قام البروفيسور الألماني بتقسيم المجرمين إلى 3 أنواع، ينتمي إلى النوع الأول اولئك الذين تعتريهم بعض الأمراض النفسية وهذا لا غرابة في أن يرتكبوا بعض الجرائم أو أن يتقاتلوا مع الآخرين.
وينتمي إلى النوع الثاني من ينشأ في بيئة إجرامية والذي أسماه بـ (المتهور التلقائي) بحيث تتولد عند هذا المجرم ردود فعل سلبية سريعه جرّاء التعرض لأي تصرف نحوه وهم شخصيات غير متسامحة وإن أي نظرة أو كلمة خاطئة اتجاهه تشكل لديه رده فعل عنيفه وتوقظ الشيطان (الشر) الكامن لديه على حد تعبير البروفيسور جيرهارد .
أما النوع الثالث فهم الأشد خطورة ويشار إليهم بمرضى إضطراب في الشخصية يعرف بـ السيكوباتية الشامل (إقرأ عن السيكوباتية)، وهم الذي يكون الشر متأصل في طبيعتهم ويتضخم كلما تقدم بهمك العمر فتزيد سطوته وفي هذه الزمرة حصر البروفيسور عدداً ممن خلدهم في التاريخ نظراً لبشاعة أفعالهم ليوضح فكرته فذكر أدولف هتلر وماوتسي تونغ وجوزيف ستالين وصدّام حسين ومعمّر القذافي وغيرهم قائلاً بأن هؤلاء كانوا بألسنتهم وباستغلالهم لحضورهم بين الناس (الكريزما) أن يستميلوا الآخرين رغم سمعتهم السيئة وكذبهم وإن الخوف من هذه الفئة من الأشرار تكمن في أنهم قادرون على ارتكاب الجرائم دون تأنيب ضمير وبدون أن يعلموا بأنهم أخطأوا على الإطلاق أو بأنهم يتحملون أي مسؤولية وغالباً مايكونوا مصابين بما يسمى بـ جنون العظمة.
وشرح البروفيسور إمكانية ولادة أشرار طغاه ومجرمين في أي وقت لذا ينبغي تحصين المجتمع ضد هذا الشر عبر تعزيز الجانب الروحي لدى كل شخص وتنشيط الجوانب الروحية حتى منذ نعومة الأظفار في رياض الأطفال.
السيكوباتية
هو إضطراب في الشخصية يتسم بمشاعر سطحية (بما فيها إظهار درجة منخفضة من الخوف والإفتقار إلى الرحمة أو التسامح )، والقسوة والأنانية ، البهجة ظاهرية ، إنعدام المسؤولية ووالإندفاع والإجرام ، والسلوك المعادي للمجتمع ، عدم الندم ، ونمط حياة قائم على التطفل.
ويطلق على الإرهابيين أحياناً صفة السيكوباتية ، وفي حين لم توافق أي منظمة أو مؤسسة للرعاية العقلية أو النفسية على إعتباره "مرضاًُ عقلياً" في حد ذاته، فإن السيكوباتية تستخدم على نطاق واسع في تقييم المرض العقلي وفي إجراءات العدالة الجنائية في بعض الدول وربما يكون له نتائج هامة على الأفراد.
المصادر
- صحيفة ديلي مايل البريطانية.- موقع الثقافة والعلوم
إقرأ أيضاً ...
- صلة السيكوباتية بنماذج الكلام- القاتل المتسلسل
- جرائم قتل بإيعاز من كائنات غيبية



يقول الله في القرآن لنسفعن بالناصيه ناصيه كاذبه خاطئه وهذا المشهد يوم القيامة والناصية هي مقدمة الرأس الحمد لله وسبحان الله وبحمده سبحان الله العظيم
ردحذف